Crear
Obtener Plan Académico

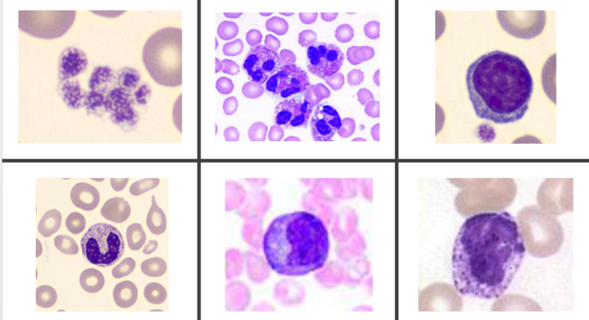
GLOBULOS BLANCOS MICROSCOPIO

Mapa Interactivo

(5)
identificar segun las imagenes cada globulo blanco :)

Descarga la versión para jugar en papel

534 veces realizada

Creada por

México
Este juego es una version de

Top 10 resultados

  1. 1
    00:13
    tiempo
    100
    puntuacion
  2. 2
    Diogo Zambrano
    Diogo Zambrano
    00:13
    tiempo
    100
    puntuacion
  3. 3
    valentina Ingavelez
    valentina Ingavelez
    00:15
    tiempo
    100
    puntuacion
  4. 4
    Adamaris Cali
    Adamaris Cali
    00:15
    tiempo
    100
    puntuacion
  5. 5
    Anthony López
    Anthony López
    00:15
    tiempo
    100
    puntuacion
  6. 6
    Leandro Paguay
    Leandro Paguay
    00:15
    tiempo
    100
    puntuacion
  7. 7
    00:16
    tiempo
    100
    puntuacion
  8. 8
    00:18
    tiempo
    100
    puntuacion
  9. 9
    Marcelo Obando
    Marcelo Obando
    00:19
    tiempo
    100
    puntuacion
  10. 10
    Stiven Allauca
    Stiven Allauca
    00:19
    tiempo
    100
    puntuacion
¿Quieres aparecer en el Top 10 de este juego? para identificarte.
Crea tu propio juego gratis desde nuestro creador de juegos
Compite contra tus amigos para ver quien consigue la mejor puntuación en esta actividad

Top juegos

  1. tiempo
    puntuacion
  1. tiempo
    puntuacion
tiempo
puntuacion
tiempo
puntuacion
 
game-icon

GLOBULOS BLANCOS MICROSCOPIOVersión en línea

identificar segun las imagenes cada globulo blanco :)

por Eduardo23
1 Plaquetas 2 Monócito 3 Basófilo 4 Neutrófilo 5 Linfócito 6 Eosinófilo