Icon Crear Crear

Lab 2: Dekepitheel

Mapa Interactivo

(41)
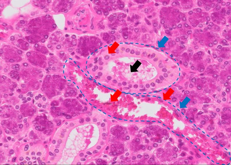
Herken de aangeduide delen. Let op! De blauwe pijlen verwijzen naar structuren, de rode naar een specifiek celtype.

Descarga la versión para jugar en papel

Edad recomendada: 18 años
126 veces realizada

Creada por

Bélgica

Top 10 resultados

  1. 1
    00:08
    tiempo
    100
    puntuacion
  2. 2
    00:08
    tiempo
    100
    puntuacion
  3. 3
    00:08
    tiempo
    100
    puntuacion
  4. 4
    00:10
    tiempo
    100
    puntuacion
  5. 5
    00:11
    tiempo
    100
    puntuacion
  6. 6
    00:11
    tiempo
    100
    puntuacion
  7. 7
    00:13
    tiempo
    100
    puntuacion
  8. 8
    00:14
    tiempo
    100
    puntuacion
  9. 9
    00:15
    tiempo
    100
    puntuacion
  10. 10
    00:15
    tiempo
    100
    puntuacion
¿Quieres aparecer en el Top 10 de este juego? para identificarte.
Crea tu propio juego gratis desde nuestro creador de juegos
Compite contra tus amigos para ver quien consigue la mejor puntuación en esta actividad

Top juegos

  1. tiempo
    puntuacion
  1. tiempo
    puntuacion
tiempo
puntuacion
tiempo
puntuacion
 
game-icon

Lab 2: DekepitheelVersión en línea

Herken de aangeduide delen. Let op! De blauwe pijlen verwijzen naar structuren, de rode naar een specifiek celtype.

por Tine Holemans
1 Schakelstuk 2 Kubisch epitheel 3 Plaveiselepitheel 4 Bloedvat 5 Rode bloedcel 6 Speeksel