Icon Crear Crear

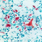
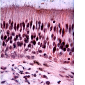
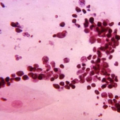
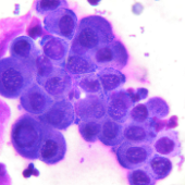
Citopatología respiratoria

Relacionar Columnas

(2)
Escoge la pareja correcta

Descarga la versión para jugar en papel

Edad recomendada: 17 años
160 veces realizada

Creada por

España

Top 10 resultados

  1. 1
    00:28
    tiempo
    100
    puntuacion
  2. 2
    01:58
    tiempo
    100
    puntuacion
  3. 3
    01:47
    tiempo
    95
    puntuacion
  4. 4
    Evelyn
    Evelyn
    02:28
    tiempo
    95
    puntuacion
  5. 5
    Coral
    Coral
    01:28
    tiempo
    50
    puntuacion
  6. 6
    00:15
    tiempo
    0
    puntuacion
¿Quieres aparecer en el Top 10 de este juego? para identificarte.
Crea tu propio juego gratis desde nuestro creador de juegos
Compite contra tus amigos para ver quien consigue la mejor puntuación en esta actividad

Top juegos

  1. tiempo
    puntuacion
  1. tiempo
    puntuacion
tiempo
puntuacion
tiempo
puntuacion
 
game-icon

Relacionar Columnas

Citopatología respiratoriaVersión en línea

Escoge la pareja correcta

por José Joaquín Gracia Rodríguez