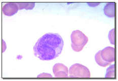
Sangre y Hematopoyesis Versión en línea UNNE- Facultad Cs Vet. por Ana Laura Gómez 1 Las plaquetas tienen una vida media de: a 10 dias b 15 dias c 8 dias d 13 dias 2 El método de tinción mas para preparados sanguíneos es: a Hematoxilina-Eosina b Grünwald-Giemsa c Impregnación Argentica d Ninguna es correcta 3 Los eritrocitos contienen metahemoglobina reductasa. a Verdadero b Falso c Verdadero d Falso 4 Los granulocitos basofilos tienen de: a 3-5 lobulos b 2-3 lobulos c 1-2 lobulos d 2-4 lobulos 5 Cual es el órgano hematopoyetico central? a La medula osea b El higado c El bazo d Ninguna es correcta 6 En la imagen se observa a Sangre de ave b Sangre de felino c Sangre de canino d Ninguna es correcta 7 En la imagen se observa a Sangre de felino b Sangre de bovino c Sangre de equino d Ninguna es correcta 8 En la sangre de cerdo se puede ver en a Circular eritrocitos b Estrellado eritrocitos c Ninguna es correcta d Las dos son correctas 9 En la imagen se observa a Sangre bovina b Sangre equina c Eritrocitos deformes d Ninguna es correcta 10 En la imagen se observa a Sangre de canino b Sangre de ave c Sangre de cerdo d Ninguna es correcta 11 En la imagen se puede ver a Eritrocitos de sangre de ave b Eritrocitos de sangre de bovino c Eritrocitos de sangre de equino d Ninguna es correcta 12 En la imagen se puede ver a Eritrocitos de sangre de gato b Eritrocitos de sangre canino c Eritrocito de sangre de bovino d Ninguna es correcta 13 En la imagen se observa a Eritrocitos maduros b Monocitos maduros c Basofilos maduros d Ninguna es correcta 14 En la imagen se observa a Un leucocito b Un monocito c Un trombocito d Ninguna es correcta 15 En la imagen se observa a Neutrofilos b Trombocitos c Monocitos d Ninguna es correcta 16 Marcar las funciones del tejido conectivo Escoge una o varias respuestas a Transporte de sustancias nutritivas, oxigeno, desechos y dioxido de carbono. b Recibir, analizar, generar, transmitir y almacenar información c Mantenimiento de homeostasis d Transporte de células y agentes del sistema inmunitario e Transporte de sustancias nutritivas, oxigeno, desechos y dioxido de carbono. f Recibir, analizar, generar, transmitir y almacenar información 17 Marque todas las opciones correctas referidas al plasma. Escoge una o varias respuestas a Un componente importante es el agua b Su función es fagocitar y eliminar microorganismos para combatir infecciones. c Proteínas como las albuminas, fibrinogeno y globulinas. d Electrolitos, gases sanguíneos, sustancias reguladoras 18 Marque las opciones correctas con respecto a los eritrocitos. Escoge una o varias respuestas a En la membrana presentan proteínas como Banda 3 y 4.1 b La hemoglobina se encarga de mantener su forma de disco bicóncavo. c Son células nucleadas en mamíferos. d La estructura de su membrana cuenta con propiedades de flexibilidad y estabilidad. 19 Los neutrófilos se asocian con reacciones alérgicas, infestaciones parasitarías e inflamación cronica. Verdadero o falso? a Verdadero b Falso c Verdadero d Falso 20 Los gránulos primarios miden: a 7 µm b 12-15 µm c 12-18 µm d 0,5µm