Icon Crear Crear
Obtener Plan Académico

Patología Bucal

Test

(2)
Preguntas sobre las patologías más frecuentes en la cavidad oral

Descarga la versión para jugar en papel

Edad recomendada: 16 años
631 veces realizada

Creada por

Perú

Top 10 resultados

  1. 1
    00:45
    tiempo
    90
    puntuacion
  2. 2
    01:39
    tiempo
    90
    puntuacion
  3. 3
    01:49
    tiempo
    90
    puntuacion
  4. 4
    02:08
    tiempo
    90
    puntuacion
  5. 5
    01:59
    tiempo
    80
    puntuacion
  6. 6
    02:04
    tiempo
    80
    puntuacion
  7. 7
    03:04
    tiempo
    70
    puntuacion
  8. 8
    andresamell45
    andresamell45
    02:11
    tiempo
    60
    puntuacion
  9. 9
    03:32
    tiempo
    60
    puntuacion
  10. 10
    03:54
    tiempo
    60
    puntuacion
¿Quieres aparecer en el Top 10 de este juego? para identificarte.
Crea tu propio juego gratis desde nuestro creador de juegos
Compite contra tus amigos para ver quien consigue la mejor puntuación en esta actividad

Top juegos

  1. tiempo
    puntuacion
  1. tiempo
    puntuacion
tiempo
puntuacion
tiempo
puntuacion
 
game-icon

Patología BucalVersión en línea

Preguntas sobre las patologías más frecuentes en la cavidad oral

por Eduardo Julio Chauca Edwards
1

El significado de la palabra "leucoplasia" es:

2

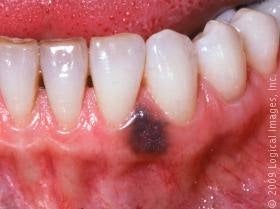
Qué lesión nos muestra la imagen

3

La característica principal de la Candidiasis seudomembranosa es:

4

El mucocele es:

5

La Estomatitis Herpética Primaria es producida por:

6

Las petequias se producen por:

7

Entendemos "lesión tumoral" como:

8

Las piezas dentales que mayormente se encuentran afectadas por pólipos pulpares son:

9

La caries del cemento se presenta generalmente en:

10

La pulpitis reversible se caracteriza por: