Crear
Obtener Plan Académico

Práctica Piel

Test

(139)
La piel constituye la superficie del cuerpo y mide aproximadamente 2 m2. Sus funciones se comprenden la protección mecánica, térmica, química e inmunológica, así como la síntesis de vitamina D y percepción sensorial, entre otras. De forma general la piel se divide en epidermis, dermis e hipodermis o tejido celular subcutáneo. En la epidermis se encuentran los queratinocitos, melanocitos, células de Langerhans, linfocitos y células de Merkel, entre otras. En la dermis se encuentra la capa papilar, la cual contiene colágeno tipo III y la capa reticular que contiene tejido conjuntivo denso no modelado con abundancia de colágeno I, así como fibroblastos y células dendríticas. Debajo de estas capas se encuentra la hipodermis en donde hay tejido adiposo y tejido conjuntivo laxo. Además dependiendo de su localización en el cuerpo la piel puede ser gruesa o fina y el grosor está en relación con la función que tiene. En este ejercicio pondrás a prueba tus conocimientos sobre el tema y recordarás que el estudio histológico de la piel es totalmente relevante en la práctica médica, debido a que este órgano se ve afectado por factores ambientales resultando en melanomas, o bien puede alterarse a consecuencia de enfermedades metabólicas como la Diabetes Mellitus . ¡Ánimo!

Descarga la versión para jugar en papel

417 veces realizada

Creada por

México

Top 10 resultados

  1. 1
    00:52
    tiempo
    100
    puntuacion
  2. 2
    01:21
    tiempo
    100
    puntuacion
  3. 3
    01:33
    tiempo
    100
    puntuacion
  4. 4
    01:36
    tiempo
    100
    puntuacion
  5. 5
    01:37
    tiempo
    100
    puntuacion
  6. 6
    01:43
    tiempo
    100
    puntuacion
  7. 7
    01:44
    tiempo
    100
    puntuacion
  8. 8
    02:02
    tiempo
    100
    puntuacion
  9. 9
    02:03
    tiempo
    100
    puntuacion
  10. 10
    Ian
    Ian
    02:07
    tiempo
    100
    puntuacion
¿Quieres aparecer en el Top 10 de este juego? para identificarte.
Crea tu propio juego gratis desde nuestro creador de juegos
Compite contra tus amigos para ver quien consigue la mejor puntuación en esta actividad

Top juegos

  1. tiempo
    puntuacion
  1. tiempo
    puntuacion
tiempo
puntuacion
tiempo
puntuacion
 
game-icon

Práctica PielVersión en línea

La piel constituye la superficie del cuerpo y mide aproximadamente 2 m2. Sus funciones se comprenden la protección mecánica, térmica, química e inmunológica, así como la síntesis de vitamina D y percepción sensorial, entre otras. De forma general la piel se divide en epidermis, dermis e hipodermis o tejido celular subcutáneo. En la epidermis se encuentran los queratinocitos, melanocitos, células de Langerhans, linfocitos y células de Merkel, entre otras. En la dermis se encuentra la capa papilar, la cual contiene colágeno tipo III y la capa reticular que contiene tejido conjuntivo denso no modelado con abundancia de colágeno I, así como fibroblastos y células dendríticas. Debajo de estas capas se encuentra la hipodermis en donde hay tejido adiposo y tejido conjuntivo laxo. Además dependiendo de su localización en el cuerpo la piel puede ser gruesa o fina y el grosor está en relación con la función que tiene. En este ejercicio pondrás a prueba tus conocimientos sobre el tema y recordarás que el estudio histológico de la piel es totalmente relevante en la práctica médica, debido a que este órgano se ve afectado por factores ambientales resultando en melanomas, o bien puede alterarse a consecuencia de enfermedades metabólicas como la Diabetes Mellitus . ¡Ánimo!

por JORGE LIMON
1

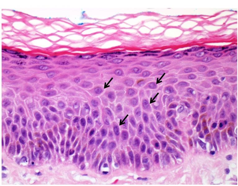
DE ACUERDO A LA IMAGEN DE EPIDERMIS ¿QUE TIPO DE CÉLULAS SE SEÑALAN CON LAS FLECHAS?

2

¿QUÉ CÉLULAS DE LA EPIDERMIS SE SEÑALAN EN LA SIGUIENTE IMAGEN?

3

¿CUÁL ES EL NOMBRE DEL CARCINOMA DE CÉLULAS BASALES QUE SE ILUSTRA EN LA SIGUIENTE IMAGEN CON LÍNEA PUNTEADA?

Respuesta escrita

4

ES EL TIPO DE CARCINOMA DE FRECUENCIA MÁS ALTA EN PERSONAS CON PIEL CLARA, SE ASOCIA A UNA EXPOSICIÓN A LA LUZ UVA Y UVB.

Respuesta escrita

5

ÉN LA SIGUIENTE IMAGEN DE PIEL GRUESA, ¿CUÁL ESTRATO SE SEÑALA EN LÍNEA PUNTEADA Y CON LA FLECHA?

6

¿CUÁL ES EL NOMBRE DEL ESTRATO DE LA EPIDERMIS SEÑALADO CON UN CÍRCULO EN LA SIGUIENTE IMAGEN?

Respuesta escrita

7

QUE TIPO DE GLÁNDULA HOLOCRINA SE REPRESENTA EN LA SIGUIENTE IMAGEN.

8

DE ACUERDO A LA SIGUIENTE IMAGEN, ¿QUÉ LETRA CORRESPONDERÍA A LA HIPODERMIS?

Respuesta escrita

9

DE ACUERDO A LA SIGUIENTE IMAGEN, ¿QUÉ LETRA CORRESPONDERÍA A LA HIPODERMIS?

Respuesta escrita

10

¿CUÁL ES EL NOMBRE DE LA CAPA DE LA PIEL QUE SE SEÑALA EN LA SIGUIENTE IMAGEN?

11

¿QUÉ CAPA DE LA PIEL SE HA DELIMITADO CON LA LÍNEA PUNTEADA?

Respuesta escrita

Explicación

Los melanocitos son las células que sintetizan malanina, se localizan en la piel y transfieren la melanina a los queratinocitos.

LOS QUERATINOCITOS SON LAS CÉLULAS EPITELIALES ESPCIALIZADAS DE LA EPIDERMIS Y SE RENUEVAN CADA 4 SEMANAS, EN ESE TIEMPO ATRAVIESAN VARIAS ETAPAS DE DIFERENCIACIÓN, HASTA QUE QUEDAN COMO CÉLULAS QUERATINIZADAS ANUCLEADAS.

EL BASALIOMA ES UN CÁNCER DE CÉLULAS BASALES, SON FRECUENTES Y SE ASOCIAN A UNA EXPOSICIÓN CRÓNICA A LA LUZ SOLAR.

EL MELANOMA ES LA PROLIFERACIÓN MALIGNA DE LOS MELANOCITOS. SU INCIDENCIA VA EN AUMENTO Y LAS PERSONAS DE PIEL BLANCA SON MÁS SUSCEPTIBLES A DESARROLLARLO.

EL ESTRATO LÚCIDO ESTÁ SOBRE EL ESTRATO GRANULOSO Y ES UNA CAPA DE TRANSICIÓN EOSINÓFILA. ES UNA LÍNEA DE TRANSICIÓN ENTRE LAS CÉLULAS VIVAS Y LAS CORNIFICADAS MUERTAS.

ES LA CAPA EXTERNA DE LA EPIDERMIS, COMPUESTO POR VARIAS CAPAS DE CÉLULAS QUERATINIZADAS MUERTAS. FORMA UNA BARRERA Y SU ESPESOR VARÍA DEPENDIENDO DE LA REGIÓN CORPORAL.

LAS GLÁNDULAS SEBÁCEAS TIENEN ADENÓMEROS AMPLIOS, HAY VARIOS BULBOS Y LAS CÉLULAS ESTÁN LLENAS DE INLUSIONES LIPÍDICAS, SE LLEGAN A DESPRENDER DEL EPITELIO GLANDULAR Y ASÍ CONSTITUYEN EL PRODUCTO DE SECRECIÓN HOLOCRINA.

LA HIPODERMIS ESTÁ SITUADA DEBAJO DE LA DERMIS, ESTÁ CONSTITUIDA FUNDAMENTALMENTE POR TEJIDO ADIPOSO.

LA HIPODERMIS ESTÁ SITUADA DEBAJO DE LA DERMIS, ESTÁ CONSTITUIDA FUNDAMENTALMENTE POR TEJIDO ADIPOSO.

LA CAPA PAPILAR SE LOCALIZA DEBAJO DE LA EPIDERMIS, FORMA PAPILAS CONJUNTIVAS PRIMARIAS Y SECUNDARIAS. ES DE ESTRUCTURA LAXA Y CONTIENE COLÁGENA TIPO III.

LA CAPA RETICULAR ES LA CAPA PROFUNDA DE LA EPIDERMIS, COMPUESTA POR TEJIDO CONJUNTIVO DENSO NO MODELADO, FIBRAS ELÁSTICAS Y UN PREDOMINIO DE LA COLÁGENA TIPO I.