Icon Crear Crear

ANATOMIA RADIOGRAFICA

Test

(1)
A TRAVES DE ESTE QUIZ PODREMOS REPASAR COMO SE OBSERVAN LAS ESTRUCTURAS ANATOMICAS DE MAXILARES Y COMO SE OBSERVAN EN LAS IMAGENES RADIOGRAFICAS

Descarga la versión para jugar en papel

361 veces realizada

Creada por

Estados Unidos

Top 10 resultados

  1. 1
    00:46
    tiempo
    80
    puntuacion
  2. 2
    01:00
    tiempo
    60
    puntuacion
  3. 3
    caro
    caro
    01:00
    tiempo
    60
    puntuacion
  4. 4
    hododos
    hododos
    00:40
    tiempo
    40
    puntuacion
  5. 5
    Raziel
    Raziel
    00:56
    tiempo
    40
    puntuacion
  6. 6
    00:57
    tiempo
    40
    puntuacion
  7. 7
    Marie
    Marie
    00:59
    tiempo
    40
    puntuacion
  8. 8
    01:00
    tiempo
    40
    puntuacion
  9. 9
    Thiare
    Thiare
    01:00
    tiempo
    20
    puntuacion
¿Quieres aparecer en el Top 10 de este juego? para identificarte.
Crea tu propio juego gratis desde nuestro creador de juegos
Compite contra tus amigos para ver quien consigue la mejor puntuación en esta actividad

Top juegos

  1. tiempo
    puntuacion
  1. tiempo
    puntuacion
tiempo
puntuacion
tiempo
puntuacion
 
game-icon

ANATOMIA RADIOGRAFICA Versión en línea

A TRAVES DE ESTE QUIZ PODREMOS REPASAR COMO SE OBSERVAN LAS ESTRUCTURAS ANATOMICAS DE MAXILARES Y COMO SE OBSERVAN EN LAS IMAGENES RADIOGRAFICAS

por DULCE MAGANA
1

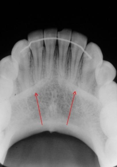
QUE ESTRUCTURA ANATOMICA SE ENCUENTRA SENALADA EN LA IMAGEN

Escoge una o varias respuestas

2

QUE ESTRUCTURA ANATOMICA SE ENCUENTRA SENALADA EN LA IMAGEN

3

A QUE ESTRUCTURA RADIOGRAFICA CORRESPONDE LO INDICADA EN LA IMAGEN RADIOGRAFICA

4

INDICA QUE ESTRUCTUR ANATOMICA INDICA LA LINEA DE COLOR AZUL

5

INDICA QUE ESTRUCTURA ANATOMICA SE INDICA EN LA IMAGEN RADIOGRAFICA