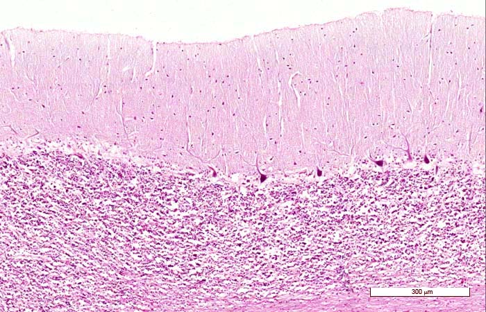
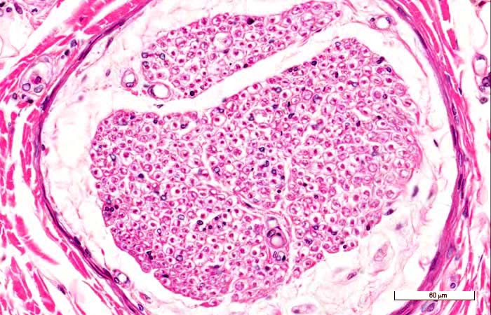
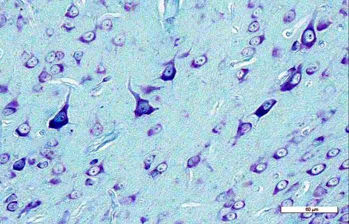
CH Tejido nerviosoVersión en línea Nervio por Brian Hesús Ambrocio Miranda 1 ¿Cuál de las estructuras se origina a partir de la cresta neural? a Corteza suprarrenal b Ganglios simpáticos c Nervios autónomos preganglionares d Neuronas motoras somáticas 2 ¿Cuál de los siguientes neuotransmisores aumenta el gasto cardiaco? a Dopamina b Serotonina c Noradrenalina d Glutamina 3 ¿Cual de las siguientes acerca del Potencial de membrana de células nerviosas es verdadera? a Los potenciales en reposo se mantienen gracias a la entrada de Na en la celula b La entrada de K hace que la membrana recupere su potencial de reposo c La despolarización induce la apertura de los canles de K regulados por voltaje d Los canales de Na regulados por voltaje se activan en el periodo refractario 4 ¿Cuál es caracteristica del perineuro? a Formada por celulas epitelioides que envuelven un fasciculo de fibras nerviosas b Fascia que envuelve una fibra nerviosa c Capa delgada de fibras reticulares que cubre fibras nerviosas individuales d Fascia que excluye macromoléculas y forma la cubierta externa de los nervios 5 ¿Cuál región contiene acetilcolina como único neurotransmisor? a SNC b Union mioneural c Corteza motora d Sinapsis simpáticas postganglionares 6 Los cuerpos de Nissl se conforman por... a Vesiculas sinapticas y acetilcolina b Polirribosomas y RER c Lipoproteina y melanina d Neurofilamentos y microtubulos 7 El cono axónico contiene... a RER b Ribosomas c Micrtúbulos d Aparato de Golgi 8 ¿Cual de las siguientes características se refiere a las vesículas sinapticas? a Elaboran NT b Entran en la hendidura sináptica c Se incorporan a la membrana presinaptica d Se incorporan a la membrana postinaptica 9 ¿Cuál de los siguientes sintomas presentara alguien con enfermedad de Hirschprung? a Ausencia de bóveda craneal b Médula espinal expuesta c Dolores de cabeza d Colon grande, dilatado 10 La mielinizacion de los nervios perifericos es realizada por... a Astrocitos b Oligodendrocito c C´s Schwann d C´s cresta neural 11 Los episodios de desmielinización se asocian a ... a Meningitis b Huntington c Parkinson d Esclerosis múltiple 12 Temblores, marcha festinante y fascies de máscara se asocian con... a Meningitis b Corea de Huntintong c Parkinson d Espondilitis anquilosante 13 La pérdida del GABA se asocia con... a Corea de Huntintong b Meinigitis c Esclerosis múltiple d Espina bífida 14 Se examina con microscopia electrónica el tejido del SNC de un hombre de 80 años. En los citoplasmas de las células de esta muestra tisular se observan varios cuerpos residuales y lipofuscina. ¿Cuál de las siguientes células se describe? a Astrocitos b Neuronas c Oligodendrocitos d Endotelio de capilares 15 ¿Cuál de las siguientes células fagocitan los detritos celulares producidos por el daño neuronal? a Astrocitos fibrosos b Oligodendrocitos c Astrocitos protoplasmáticos d Células de la microglía 16 ¿Cuál de las siguientes forman los plexos coroideos? a Piamadre y aracnoides b Piamadre y epéndimo c Celulas de la barrera aracnoidea d Dura meningea 17 ¿Cuál de las siguientes permite que exista LCR en el espacio subaracnoideo? a Plexos coroirdeos b Vellosidades aracnoideas c Células de la barrera aracnoidea d Capilares fenestrados 18 Un patólogo examina una sección teñida de un tejido nervioso desconocido. Nota células con un cuerpo extremadamente largo, en forma de rayo y múltiples dendritas que se acomodan en forma paralela. ¿Cuál de los siguientes tejidos está examinando el patólogo? a Materia blanca de medula espinal b Materia gris de medula espinal c Corteza cerebelosa d Materia blanca del cerebro 19 ¿Cuál de las siguientes estructuras celulares se encuentra dentro del citoplasma del pericarion, pero no en el axoplasma? a Vesiculas unidas a membrana b Neurofilamentos c Microtúbulos d RER 20 Tinciones apropiadas para estudiar las prolongaciones neuronales a Metálicas pesadas b Argentafines c Cromafines d Glucoafines 21 Nombre de la siguiente estructura a Nervio central b Nervio periférico c Nervio Asensorial d Nervio mielinico 22 Nombre de la siguiente estructura a Plexo capilar b Plexo coroideo c Tendinocitos d Ependimo 23 A qué corresponde la siguiente imagen a Corteza cerebral b Corteza ganglionar c Corteza talámica d Corteza cerebelar 24 A qué corresponde la siguiente imagen a Neuronas cerebrales b Neuronas de ganglios simpaticos c Neuronas de nervio periferico d Neuronas cerebelares Explicación 14 En cerebros de personas de edad mayor las neuronas de algunas regio- nes acumulan cuerpos residuales y lipofuscina. Ambas inclusiones citoplásmicas se deben a metabolismo y actividad autofágica intracelular. 19 El axoplasma contiene la mayor parte de los organelos que contiene el citoplasma del pericarion, con excepción del retículo endoplásmico rugoso.