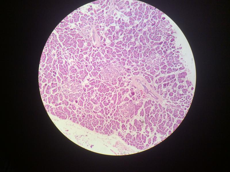
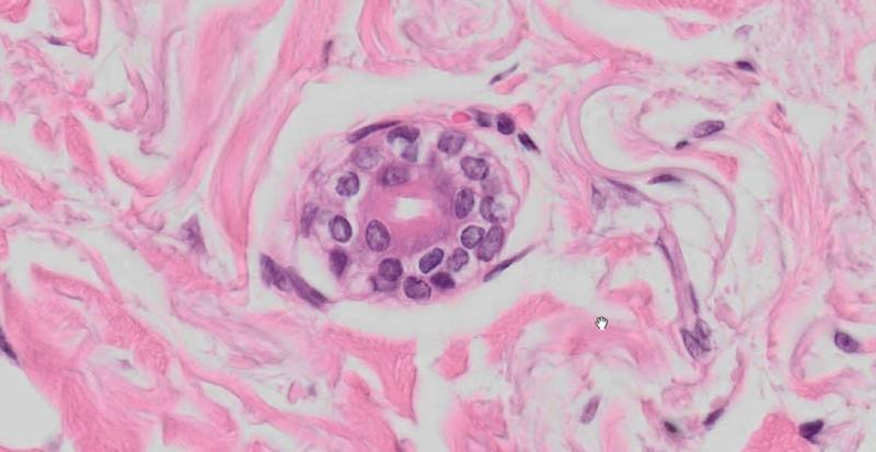
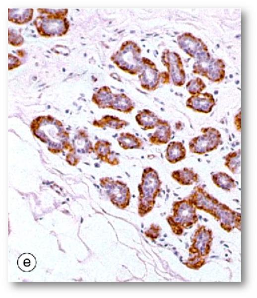
Práctica 4Versión en línea Glándulas por Brian Hesús Ambrocio Miranda 1 ¿Cómo fue descrita inicialmente esta estructura? a Un mar en acinos b Islotes en un mar de acinos c Acinos rodeados de glandulas d Epitelio glandular productor de azúcar 2 ¿Qué es el páncreas? a Una glándula endócrina b Una glándula paracrina c Una glándula exócrina d Una glándula anficrina 3 Si hay ausencia de las células parafoliculares, ¿qué provocará en una persona? a Descalcificación b Hiperprolactinemia c Hiperalbuminemia d Policitemia 4 ¿Qué tipo de secreción tienen los islotes de Lanhans? a Endócrina b Autócrina c Paracrina d Ninguna 5 Luego de la pubertad, cómo se encuentran las glándulas mamarias a Activas b Inactivas c En lactancia d En reposo absoluto 6 ¿Qué hormona es causante de la emisión de la leche? a Lactocina b Oxitocina c PTH d LH 7 ¿Qué tipo de glándula es la mama? a Tubular simple b Tubuloalveolar compuesta c Acinar simple d Tubuloacinar simple 8 ¿Qué celulas son las encargadas de expulsar el contenido de las glándulas? (tincion especifica de actina) a Muscular de la mucosa b Mioepiteliales c Células mameys d Células mioglobosas 9 ¿Qué tipo de glándula es el testículo en base a su secreción? a Citocrina b Holócrina c Paracrina d Merócrina 10 ¿Qué función predomina en el páncreas? a Endócrina b Exócrina c Holocrina d Apócrina 11 ¿Cuántas células de la porción endócrina componen al páncreas? a 3x10^12 células b 3000 células c 3x10^9células d 3,000,000 células 12 ¿Qué epitelio compone a los conductos galactóforos? a Plano simple b Cúbico simple c Plano estratificado d Cilíndrico simple 13 ¿Que tipo de tejido es la capsula adrenal? a TC denso irregular b TC denso regular c TC laxo d TC reticular< 14 Zona más periférica que representa 15% de la superficie cortical a Zona glomerular b Zona fasciculada c Zona reticular 15 Abarca e 75 % de la corteza y sus celulas estan en hileras dobles con espesor de 2 celulas contiguas a Zona glomerular b Zona fasciculada c Zona reticular Explicación 2 Según la secreción (es) 3 relacionado con RANKL 4 Existe?